Tıp alanındaki pek çok farklı bölümde, tanı ve tedavi konusunda destek alınan bir bölümdür. Yeni yöntemler ve cihazlar yardımı ile çok daha kolay bir şekilde gerçekleştirilebilen girişimsel radyoloji işlemlerinde, hastalar daha az rahatsızlık duyarak mevcut tanı ve tedavileri için destek sağlayabilmektedir.

 

Girişimsel Radyoloji Nedir?

Girişimsel radyoloji, radyolojinin bir branşı olarak kabul edilmektedir. Ancak radyolojide genel olarak tarama ve kontroller esas alınmış olsa da girişimsel radyoloji, tanı koyucu ve tedavi edici bir yan dal olarak bilinir. Özellikle son yıllarda çok fazla yeniliğin yaşandığı bu branş, böylece daha iyi imkanlar ile hizmet verilmesini de sağlamıştır. Girişimsel radyologlar tarafından uygulanması gereken bu tedavilerde, en önemli detaylardan bir tanesi uzman yeterliliğidir. Operasyonu yürütecek uzmanın bilgisi, becerisi ve deneyimi operasyonun başarılı bir şekilde sonuçlanmasında oldukça etkindir. Bu nedenle girişimsel radyoloji hizmetinden yararlanacak olan kişilerin, uzman doktorlardan yardım alması ve özellikle radyoloji alanında kendini geliştirmiş kişileri tercih etmesi gerekir.

Girişimsel Radyoloji Nasıl Uygulanır?

Girişimsel radyolojinin uygulanması sırasında bir ameliyat gibi büyük kesiler ve dikişler yer almaz. Tanı ve tedavide çeşitli görüntüleme yöntemlerinden yardım alan girişimsel radyolojide, özellikle çok küçük noktalardan vücudun daha derin bölgelerine özel ekipmanlar ile müdahale edilebilmektedir. Ameliyat durumlarında her zaman için bir kesi açılması zorunludur. Ancak girişimsel radyoloji ile birlikte böyle bir zorunluluk olmadığı gibi lokal anestezi altında kolay bir şekilde operasyonlar yapılabilmektedir. Bu genellikle iğne büyüklüğü kadar küçük bir noktadan yapılan müdahaleler ile gerçekleşir ve bölgeye daha hızlı bir şekilde ulaşılır. Hastanın rahatsızlığına yönelik tanı ve tedaviler sunulur. Genel olarak iki farklı alt gruba ayrılır;

 

Damar İçi (Vasküler Girişimler)

Vasküler girişimlerde damarlara odaklanılır ve damarlara bağlı olarak yaşanabilecek pek çok farklı rahatsızlıkta destek sağlanmaktadır. Ciltten damar içerisine giriş yapılarak çeşitli tedavilerin sunulmasına imkan tanıyan girişimsel radyolojide; stent, balon anjiyoplasti, embolizasyon, bacak varislerinde yaşanan problemler ve tedaviler ön planda olmaktadır. Özellikle son yıllarda stent, balon anjiyoplasti ve embolizasyon oldukça popüler ve pratik bir yöntem olarak dikkat çekmektedir. Embolizasyonda, kişilerin çeşitli sorunlar yaşamasına yol açan hastalıklı damarlara damar içinden müdahale edilir. Yapılacak mücadele ile birlikte damarlar kapatılır. Çeşitli bölgelerde kanama yaşanmasına yol açan damarların kapatılması ile mevcut sorunlar önlenir ve hasta daha rahat ve sağlıklı bir şekilde yaşam sürebilir. Stent veya balon anjiyoplasti yönteminde ise damar içerisinde tıkanıklıkların açılması adına bir dizi işlem yapılmaktadır. Özellikle boyun ve bacak gibi bölgelerdeki atar ve toplar damarlarda meydana gelen tıkanıklar, çeşitli rahatsızlıkların yaşanmasına yol açar. Ancak yapılacak özel müdahaleler ile birlikte damarlar açılarak kan akışının damar içerisinde sorunsuz bir şekilde yaşanması sağlanır.

Damar Dışı (Non-Vasküler Girişimler)

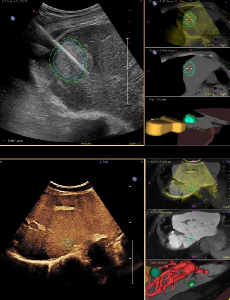
Girişimsel radyolojide yaygın olarak tercih edilen bir diğer yöntem ise damar dışında uygulanmaktadır. Tıbbi alanda non-vasküler girişim olarak bilinen bu yöntemlerde; kistler, apseler, böbrek ve safra yollarında yaşanan sağlık problemlerine müdahale imkanı sağlanmaktadır. Damar dışında yaşanan rahatsızlıklar için daha hızlı ve kolay bir müdahale olarak bilinen girişimsel radyoloji, tümör gibi ileri durumlarda dahi tercih edilebilmektedir. Yakma işlemleri, çeşitli organlardan biyopsi alma işlemleri, kistlerin ve apselerin alınması gibi durumlarda damar dışı olarak non-vasküler girişimler tercih edilmektedir.

 

Girişimsel Radyolojinin Avantajları Nelerdir?

Uygulamada geliştirilen yeni teknikler ile birlikte girişimsel radyolojinin sunduğu en büyük avantajlardan bir tanesi, hastanın daha rahat bir şekilde operasyon geçirmesidir. Bir ameliyat ortamında daha büyük travmalar yaşanabilir. Ancak uygun steril ortamlarda lokal anestezi ile operasyonların yapılması, hastanın daha rahat olmasını sağlar. Lokal anestezi ile birlikte acı hissedilmemesi hastaların, daha kolay tolere edilebilir travmalar ile operasyon geçirme şansına sahip olmasını sağlamaktadır.

Mevcut teknik ile birlikte hasta daha az acı hisseder ve operasyon sonrasındaki ağrılar da çok daha azdır. Bu nedenle iyileşme süresinin hızlanması ile birlikte kişiler normal yaşamına çok daha kısa bir süre içerisinde dönüş yapabilmektedir.

Ameliyat ile yapılacak müdahalelerde kesiler, dikişler ve sonrasındaki pansuman gibi pek çok farklı sürecin takip edilmesi gerekir. Ancak girişimsel radyolojide, çok bir küçük noktadan müdahale edildiğinden dolayı operasyon sonrasında kişilerin dikiş aldırma ya da dikiş tutma gibi endişeleri bulunmaz. Ayrıca vücudun ilgili bölgesindeki doku bütünlüğü de korunduğundan dolayı İlerleyen dönemlerde farklı sorunların yaşanmasının da önüne geçilebilmektedir.

Operasyon sonrasındaki taburcu süresi, girişimsel radyoloji uygulanan hastalarda çok daha kısadır.

Damar içi ve damar dışı olarak yapılabilecek işlemlerde çoğu zaman narkoz uygulanmaz ve lokal anestezi ile birlikte işlemler tamamlanmaktadır. Vücutta bıçak kesiği ve dikiş izi kalmadığından dolayı hastalar için girişimsel radyoloji daha çok tercih edilen bir yöntem olarak görülmektedir. İşlemlerin kolay ve daha az riskli olması, işlemler sonrasında hastaların aynı gün evine gönderilmesini ve belirli kontrol süreleri ile birlikte yaşadığı rahatsızlıklardan kurtulmasını sağlamaktadır.

 

Girişimsel Radyolojinin Uygulandığı Hastalıklar?

Girişimsel radyoloji mevcut operasyonları gerektirebilecek tüm hastalıklardan uygulanabilecek bir yöntemdir. Bu nedenle belirli hastalıklar ile sınırlanamayacak kadar çok geniş bir alanda destek sağlanmaktadır. Çeşitli hastalıklarda ana teşhis ve tedavi sürecini üstlenebilecek girişimsel radyoloji, farklı branşlarda ihtiyaç duyulabilecek çeşitli müdahalelerde de tercih edilebilecek yan yöntemlerden birisi olarak görülebilmektedir. Genel olarak ise girişimsel radyolojiye en çok ihtiyaç duyulan alanlar;

  • Arter ve venöz damarlarda yaşanan tıkanıklıklar ve buna bağlı görülen rahatsızlıklar
  • Damar balonlaşması tanı ve tedavisi
  • Onkoloji tedavisine bağlı olarak ihtiyaç duyulabilecek girişimsel radyoloji destekleri
  • Biyopsiler(Tiroid, meme, karaciğer ve prostat TRUS )
  • Drenaj işlemleri
  • Kist ve apse tedavileri